Navigation überspringen Sitemap anzeigen

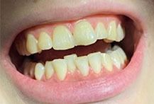
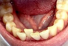
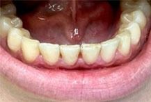
Zahnregulierung ohne Metall oder festen Draht im Mund!

Die unsichtbaren Zahnschienen von PlanyaSmile (Österreich) sind eine alltagstaugliche Lösung Ihre Zähne unbemerkt zu regulieren. Unsere Schienen bewirken mit sanftem Druck auf die Zähne innerhalb kurzer Zeit ein schönes ästhetisches Ergebnis.

Gerne beraten wir sie unverbindlich, ob unsere Zahnschienen für Ihre Wünsche geeignet sind.

Vorher/Nachher

Zum Seitenanfang